Оставить заявку
Услуги Врачам Пациентам Партнёрство Новости О компании Прайс-лист Контакты Личный кабинет врача Город
Город Прайс-лист Контакты Личный кабинет врача
Онлайн заявка
Услуги Врачам Пациентам Партнёрство Новости О компании
Новости Мероприятия
Клинический случай
02 июня 2020
Клинический случай. Терапия
31 мая 2020
Клинический случай
30 мая 2020
Лицензия, г. Красноярск
25 мая 2020
Лицензия, г. Ростов-на-Дону
21 мая 2020
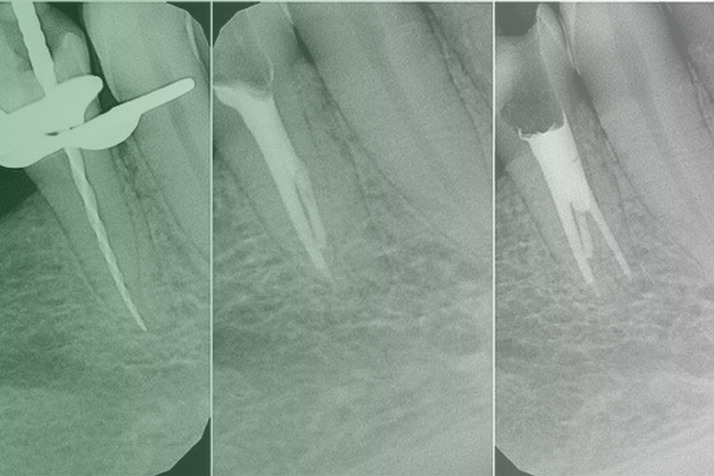
Клинический случай. Эндодонтия
17 мая 2020
Загрузить больше
01 05 06 07
Voxel
  • О компании
  • Врачам
  • Партнёрство
  • Контакты
  • Услуги
Клиентам
  • Наши услуги
  • Прайс-лист
  • Новости
  • Мероприятия
  • Консультация
Врачам
  • Наши услуги
  • Прайс-лист
  • Новости
  • Личный кабинет
  • Партнёрство
Соц. сети
Vkontakte YouTube Одноклассники
Контакты
Адрес центра
2026 © Voxel - независимый рентген-диагностический центр Политика конфиденциальности
Записаться онлайн
Выберите свой город
Выберите ближайший рентген центр
Ваша заявка
принята!

В скором времени наш
менеджер свяжется с вами,
оставайтесь на связи

Прекрасно